ВИДЫ КОРРЕКЦИИ ЭЛАЙНЕРАМИ INVISALIGN
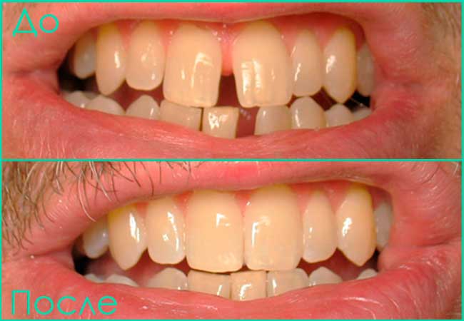
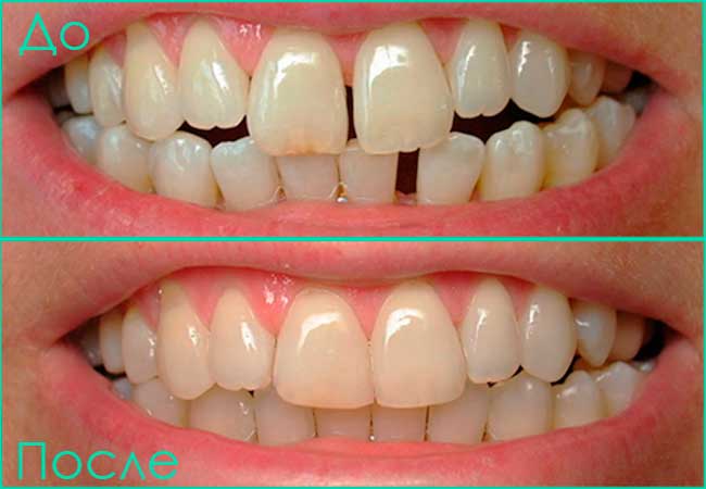
Промежутки
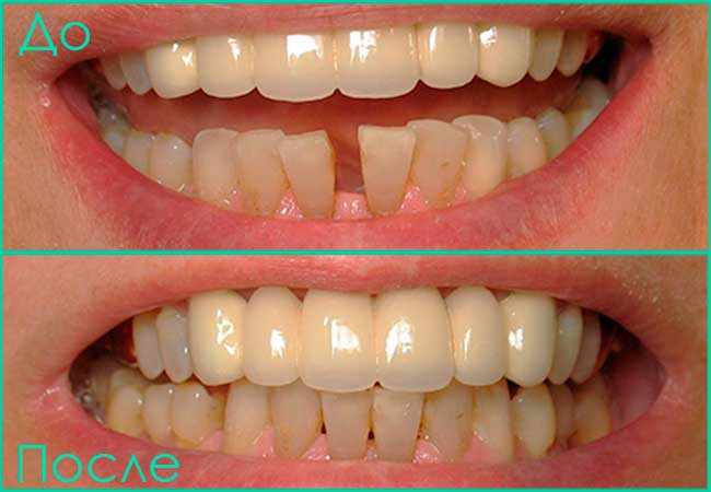
Открытый прикус
Дистальный прикус
Перекрестный прикус
Мезиальный прикус
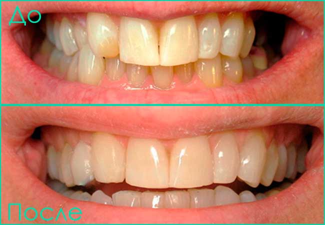
Прямой прикус
Invisalign от Анны Брешковой
ЛЁГКОСТЬ И КОМФОРТ
КРАСИВАЯ УЛЫБКА
Работаю врачом уже 12 лет, последние 5 лет и по сей день в замечательной детской
стоматологической клинике, с большой историей и проверенной репутацией.Частенько за
красивой улыбкой к нам приходят взрослые дети,наших когда-то маленьких пациентов.
Преимущество моей работы в том, что помощь я могу оказать как детям,так и их родителям,
приходите всей семьёй!
3D-МОДЕЛЬ ВАШИХ ЗУБОВ
ВИРТУАЛЬНЫЙ ПЛАН ЛЕЧЕНИЯ
Ваше лечение планируется в компьютерной 3d модели, что позволяет выбрать максимально комфортный и эффективный путь перемещения зубов, и увидеть конечный результат ещё до начала лечения!
INVISALIGN ДЛЯ ВСЕХ
ДЛЯ ДЕТЕЙ И ВЗРОСЛЫХ
Чтобы узнать больше о системе Invisalign,о том сколько времени потребуется на лечение именно Вашего случая и сколько это стоит, позвоните или напишите мне - буду рада проконсультировать Вас! Контакты: +79268145550 e-mail : anna@breshkova.ru



